小児の着色、ブラックステインについて
歯の豆知識
こんにちは。歯科医師の中村です。
皆様はいかがお過ごしでしょうか。
だんだんと涼しい日が増えてきましたね。体調管理にお気を付けください。
今回は小児の色素沈着であるブラックステインについてお話したいと思います。
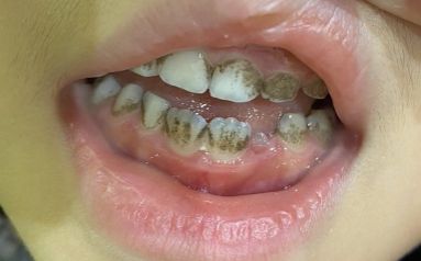
ブラックステインとは、各国の小児の約2~20%にみられると報告されている色素沈着の一種です。ブラックステインは歯茎に沿った歯の表面に、薄い線または、黒くて細かい粒子状の色素がとびとびの点として認められます。
沈着メカニズムは完全には解明されてはいませんが、口腔内細菌や唾液性状が関与していると考えられています。黒い色は細菌により産生された硫化鉄に由来するとされています。

お口の中には虫歯の原因菌、歯周病の原因菌など様々な細菌が存在していますが、ブラックステインがみられるお子さんには、この着色の原因菌の比率が高いと考えられています。
多くの研究では、ブラックステインのみられるお子さんは、ないお子さんと比較して虫歯のリスクが低いと報告されています。それは虫歯の原因菌よりも着色の原因菌が優勢であるためと考えられています。
ブラックステインは大人になると自然消失することがほとんどです。(稀に大人になってもブラックステインが残っている方もいらっしゃいます。)
審美的な問題以外は特にありません。
ブラックステインは強固な着色なのでセルフケアのみでの除去は困難なため、定期的なプロフェッショナルケアが必要になります。また、虫歯になりにくいと言われていても、虫歯にならないわけではないので定期的なクリーニングやフッ素塗布が必要です。
まさみ歯科では小児の定期健診も実施しております。気になる方はスタッフまでご相談ください。
皆様はいかがお過ごしでしょうか。
だんだんと涼しい日が増えてきましたね。体調管理にお気を付けください。
今回は小児の色素沈着であるブラックステインについてお話したいと思います。
ブラックステインとは、各国の小児の約2~20%にみられると報告されている色素沈着の一種です。ブラックステインは歯茎に沿った歯の表面に、薄い線または、黒くて細かい粒子状の色素がとびとびの点として認められます。
沈着メカニズムは完全には解明されてはいませんが、口腔内細菌や唾液性状が関与していると考えられています。黒い色は細菌により産生された硫化鉄に由来するとされています。

お口の中には虫歯の原因菌、歯周病の原因菌など様々な細菌が存在していますが、ブラックステインがみられるお子さんには、この着色の原因菌の比率が高いと考えられています。
多くの研究では、ブラックステインのみられるお子さんは、ないお子さんと比較して虫歯のリスクが低いと報告されています。それは虫歯の原因菌よりも着色の原因菌が優勢であるためと考えられています。
ブラックステインは大人になると自然消失することがほとんどです。(稀に大人になってもブラックステインが残っている方もいらっしゃいます。)
審美的な問題以外は特にありません。
ブラックステインは強固な着色なのでセルフケアのみでの除去は困難なため、定期的なプロフェッショナルケアが必要になります。また、虫歯になりにくいと言われていても、虫歯にならないわけではないので定期的なクリーニングやフッ素塗布が必要です。
まさみ歯科では小児の定期健診も実施しております。気になる方はスタッフまでご相談ください。









